చిగుళ్ల వ్యాధితో చిక్కులే...

Update: 2019-07-30 15:42 GMT

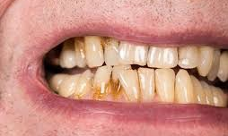
మనం తీసుకునే ఏ ఆహారమైన జీర్ణశయనికి చేరేది నోటీ ద్వారానే. నోటినోని ఏ భాగం వ్యాధిగ్రస్తమైనా దాని ప్రభావం జీర్ణవ్యవస్థ మీద పడుతుంది. ముఖ్యంగా చిగుళ్ళకు ఎక్కవుగా ఇన్‌ఫెక్షన్స్‌కు గురవుతాయి. చిగుళ్లపై పుండ్లు ఏర్పడి బ్యాక్టీరియాతో వ్యాధిగ్రస్తమై చీము పట్టి, పళ్లల్లో రంద్రాలు ఏర్పడితాయి. దీంతో పళ్లు పుచ్చిపోయి నోటిలో అల్సర్లు ఏర్పడి జీర్ణవ్యవస్థ అంతా కలుషితమవుతుంది. దీంతో నోటిలో లాలాజలం సరిగా స్రవించక లాలాజలంలో వివిధ జీర్ణ రసాయనాలు సరైన నిష్పత్తిలో లేక జీర్ణశక్తి కుంటుపడుతుంది.

నిజానికి, చిగుళ్ల సమస్యలు, దంత వ్యాదులు తలెత్తడానికి గల అసలు కారణం మన తీసుకునే ఆహార పానీయాలు.చిగుళ్లు, దంతాలు వ్యాధిగ్రస్తం కాకుండా ఉండడానికి, ఆహారం, ఇతర పానీయాలు తీసుకున్న ప్రతిసారీ టంగ్‌ క్లీనర్‌తో శుభ్రం చేసుకోవాలి. చిగుళ్లను వేళ్లతో గట్టిగా నొక్కి, ఆ తర్వాత వాటితో పాటు, దంతాలను మిగతా భాగాలను శుభ్రం చేసుకోవాలి. చిగుళ్లు, దంతాల్లో బ్యాక్టీరియా తీవ్రత ఎక్కువైనప్పుడు శక్తివంతమైన యాంటీబయాటిక్స్‌ కూడా పనిచేయలేకపోతాయి. చివరకు ఇది దంతక్షయానికి దారి తీస్తుంది. ఇది చిగుళ్లను, పళ్లను, పట్టి ఉంచే పునాది ఎముకలను బలహీనపడేలా చేస్తాయి. చిగుళ్లను, ఎముకలను ఔషధాలతో కాపాడలేనప్పుడు ఇక చికిత్స ఒక్కటే మార్గమనుకుంటారు చాలా మంది. మూలికా వైద్యులను సంప్రదిస్తే, ఈ శస్త్ర చికిత్సల అవసరమే ఉండదు.

Tags:    

Similar News